GLOMERULOPATÍAS Y NEOPLASIAS RENALES
GLOMERULOPATÍAS
Las glomerulopatías son todas aquellas patologías que afectan al glomérulo renal, ya sean primarias (donde el órgano deteriorado predominantemente es el riñón por enfermedad propia) y secundarias (aquellas donde la afectación se da consecutivamente a una enfermedad, como por ejemplo, LES)
Las características clínicas que surgen de afecciones glomerulares son 5:
- Síndrome nefrítico: aparición de edema, oliguria, HTA, hematuria, azotemia
- Glomerulonefritis rápidamente progresiva: nefritis aguda, IRA y proteinuria
- Sindrome nefrótico: hipoalbuminemia, hiperlipidemia, lipiduria y proteinuria alta
- IRC: uremia de larga data
- Hematurias y proteinurias subclínicas
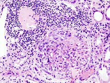
Las alteraciones histológicas mas frecuentes de observar son la HIPERCELULARIDAD ( ya sea por proliferación de células epiteliales o estromales, infiltrado leucocitario o formación de semilunas que constituyen acumulaciones de celulas epiteliales y leucocitos infiltrantes, aparentemente inducida por la fibrina), ENGROSAMIENTO DE LA MEMBRANA BASAL ( por deposito de material amorfo o incremento en la síntesis proteica) y la HIALINOSIS (acumulación de material eosinofilo y homogeneo proteico que deriva del escape de sustancias vasculares al gelomerulo, típico de la glomeruloesclerosis focal y segmentaria) o ESCLEROSIS ( deposito excesivo de colágeno en la matriz extracelular)
Estas alteraciones suelen describirse en base al nivel de afectación del glomérulo en: difusas vs focales (las primeras indican patologia de la totalidad de los glomérulos, en cambio, las segundas, solo algunos) y global vs segmentarias ( si se ve todo el glomérulo afectado o parte de el).
La patogenia de estas enfermadades esta vinculada por un lado a la reacción autoinmune in situ de antígenos propios, como ocurre con la nefritis de Heymann y la glomerulonefritis inducida por anticuerpos anti- MBG y de antigenos implantados o puede ocurrir por deposito de complejos inmunitarios circulantes ya sean endógenos (típico del LES) O exógenos ( como el treponema pallidum y virus de la hepatitis b y c), desarrollandose de este modo la lesión celular característica que es el borramiento de los podocitos, así como la vacuolización y desprendimiento de las células epiteliales; esto ocurre porque ante el deposito de complejos inmunes se activa parte del complemento, quien induce la actividad, en principio de los PMN quienes se encargan de producir diversos mediadores químicos, entre ellos, las citocinas, quimioquinas y fundamentalmente oxidantes, todos ellos atraerán macrófagos y linfocitos que se encargaran de producir la lesión.
El daño renal progresivo definitivo solamente se observa recien cuando se ha reducido entre un 30-50% el filtrado glomerular y las caracteristicas histológicas mas comunes son la glomeruloesclerosis focal y segmentaria ( que ocurre por cambios adaptativos, es decir, existe una hipertrofia compensadora que finalmente produce hipertensión glomerular y sistémica) y fibrosis tubulointersticial donde se genera proteinuria por lesion y activacion directa de las células tubulares.
Glomerulonefritis aguda proliferativa postestreptococica: principal causa de sindrome nefritico
Surge en niños, seguida de una infección de faringe o piel, por estreptococcos beta hemolíticos, se caracteriza por infiltración linfocitaria, proliferación de células endoteliales y mesangiales y formación de semilunas, observandose depósitos de IGg, IGm y C3 en el mesangio y la MBG.
Glomerulonefritis rápidamente progresiva : también asociada al síndrome nefrítico
Se asocia a, por un lado, el deṕosito de IGg, que demeuestra reaccion cruzada con el pulmon y desarrolla sindrome de Goodpasture; puede ocurrir ante el deposito de complejos inmunitarios y en el tercer tipo se observan ANCA (anticuerpos contra PMN)
Nefropatía membranosa: asociada a síndrome nefrótico
Se produce el engrosamiento difuso de la pared capilar glomerular por deposito de IGg, cuyo origen se asocia a fármaco, LES, infecciones y tumores malignos.
Enfermedad de cambios mnimos: asociado a síndrome nefrótico
frecuente en niños, no se detectan anomalias a nivel optico, se observa el borramiento de los pedicelos de los podocitos en el microscopio electronico. Se asocia a la faringitis por estreptococos beta hemoliticos.
Glomerulonefritis membranoproliferativa:
Se presenta con alteracion de la MBG, proliferacion de celulas glomerulares e infiltrado leucocitario. Existen dos tipos en base a la vis del complemento que se activa y el tipo de deposito en la MBG. Desarrolla sindrome nefrotico
Anomalias aisladas
- Enfermedad de Berger: por deposito de IGa en zonas mesangiales, se observa a cualquier edad y con hematuria.
- Sindrome de Alport: transtorno hereditario ligado al cromosoma x, que se ve con hematuria y transtornos visuales, sordera y cataratas.
- Hematuria benigna familiar: defectos en ciertas cadenas de colageno que producen el adelgazamiento pronunciado de la MBG, generandose proteinuria.
GLOMERULONEFRITIS CRONICA
Se produce por cualquiera de las glomerulonefritis anteriores, produciendo la obliteracion completa de los glomerulos, consistiendo en acumulacion de fallas o daños a ese nivel.
NEOPLASIAS RENALES
Benignas
Malignas
Hipernefrona de Grawitz: en adultos, con mayor frecuencia en hombres mayores de 60 años, asociado a TBQ, DBT,obesidad, dieta rica en carbohidratos, HTA, entre otros.
Tumor de Wilms:
- Adenoma
- Circunscripto
- Ausencia de metastasis
- menor a 5 cm de diametro
- Proliferacion papilar epitelial con celulas eosinofilas
- Si es de menos de 5 mm, no infiltra
- Sin capsula, de ubicacion cortical
2. Oncocitoma
- Se origina en las celulas intercaladas de los tubos colectores
- De aspecto macroscopico, pardo- amarronado
- Es caracteristico sus celulas con abundante citoplasma
3. Angiomiolipoma
- Se origina en los pericitos ( celulas perivasculares)
- Es no capsulado
- Se produce entre el 25-50% de las esclerosis tuberosas
Malignas
Hipernefrona de Grawitz: en adultos, con mayor frecuencia en hombres mayores de 60 años, asociado a TBQ, DBT,obesidad, dieta rica en carbohidratos, HTA, entre otros.
- Tercer cancer mas frecuente en niños menores de 10 años.
- Rico en componentes derivados del mesodermo.
- Puede surgir esporadicamente o ser familiar.
- Masa grande, solitaria y bien delimitada.
- Blando y homogeneo
- Combinacion de tipo blastemica, estromal y epitelial.
- Las celulas blastemicas se caracterizan por disponerse a modo de sabanas de celulas azules y pequeñas.
- Alto riesgo de desarrollar tumor contralateral, si se presentan restos nefrogenicos.
BIBLIOGRAFÍA: Robbins y Cotran 8va. edición

.jpg)








